了解最新公司动态及行业资讯
近日,长沙中心医院泌尿外科成功为一名22岁男性患者实施微创手术,一次性从其膀胱内取出50颗磁性钢珠。该病例因异物数量多、滞留时间长,手术难度较高,经医疗团队精细操作,患者术后恢复良好,目前已康复出院。医生提醒:磁性玩具安全隐患大,切勿随意置入体内。

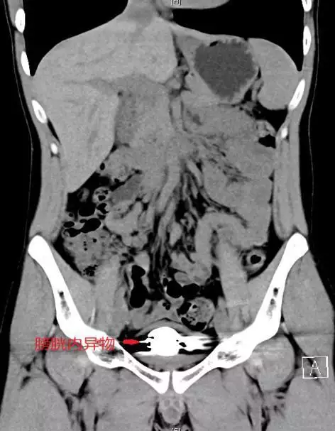
据了解,22岁的简轩(化名)因尿频、尿急、尿痛持续一年,近期症状加重才前往长沙中心医院泌尿外科就医,经影像学检查发现,其膀胱内竟积聚大量直径约5毫米的金属圆珠,排列紧密且表面已形成钙化外壳。该院泌尿外科一区主任傅发军及其团队结合病史及临床经验判断异物为数十颗磁性钢珠,如不及时取出,长期滞留可能导致尿路梗阻、感染甚至组织损伤。
由于异物数量多、磁性强且表面光滑,传统开放手术创伤较大,团队研究后决定采用“经尿道膀胱镜钬激光碎石取异物术”。手术需克服三大难点:磁珠相互吸附难以分离、表面光滑不易抓取、膀胱壁脆弱易损伤。医疗团队通过精准影像定位和精细操作,历时2小时成功取出全部异物,共计50颗磁性钢珠。术后患者症状立即缓解,恢复顺利。


傅发军提醒,磁性玩具若被儿童误吞,可能因磁力吸附导致肠穿孔;若进入泌尿系统,则可能引发感染、梗阻甚至癌变的风险。家长务必加强监管,避免儿童接触此类高危玩具,同时呼吁成年人切勿因猎奇心理将异物置入体内,以免造成不可逆的健康损害。